中大新聞網訊(通訊員沈施施)近日,中山大學附屬第三醫院腦病中心邱偉、蔡蔚團隊聯合國家納米科學中心聶廣軍、王海教授等在國際知名期刊ACS Nano上發表題為“Neutrophil Nanovesicle Protects Against Experimental Autoimmune Encephalomyelitis through Enhancing Myelin Clearance by Microglia”的研究論文,附屬第三醫院納米醫學中心陶玉教授、李明強教授等參與研究。
作為中樞神經系統最常駐的吞噬細胞,小膠質細胞可清除髓鞘碎片,促進髓鞘再生。然而大量吞噬髓鞘后,其功能下降,反而會加重神經炎癥。在目前多發性硬化(MS)等神經免疫病的治療中,大分子藥物主要靶向外周免疫進行調節,而忽視了中樞神經系統小膠質細胞的“雙刃劍”作用。如何使外周大分子藥物安全、有效地穿透血腦屏障,將其遞送到中樞神經系統,并精準靶向小膠質細胞,以提高小膠質細胞的抗炎功能同時“關閉”其促炎功能,是傳統大分子藥物在神經免疫病治療中面臨的一大難題。
這是邱偉團隊和聶廣軍團隊今年繼Nano Today(2022, vol. 44, 101457)發表論著后的又一豐碩合作成果。前期研究中,為了靶向小膠質細胞抑制中樞免疫活化,兩個團隊通過PEG2000和腦靶向肽angiopep-2修飾GLP-1受體激動劑,開發出納米結構藥物pALRGT,緩解中樞神經炎癥反應。
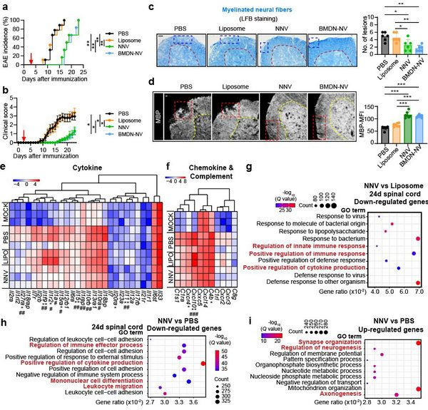
本研究繼續圍繞靶向、精準調節小膠質細胞功能開展。兩個團隊的研究人員聯合制作出中性粒細胞來源的納米囊泡(NNV),它可顯著改善實驗性自身免疫性腦脊髓炎(EAE)動物模型以及體外實驗中小膠質細胞清除髓鞘碎片的能力,改善神經炎癥,并最終促進髓鞘再生。

圖1:NNV改善EAE動物模型(a-d),減輕神經炎癥(e-i)
同時,研究人員進一步探索了NNV作用于小膠質細胞的下游機制。研究發現,NNV通過激活NRF2這一信號通路上調LC3相關吞噬作用(LAP),并促進小膠質細胞吞噬功能。

圖2:NNV激活小膠質細胞NRF2信號通路,促進髓鞘碎片清除
研究人員還在臨床多發性硬化(MS)和視神經脊髓炎(NMO)患者中展開探索。研究初步發現,NNV可促進MS患者外周血中的巨噬細胞清除髓鞘碎片。

圖3:NNV可促進MS患者巨噬細胞清除髓鞘碎片
針對傳統大分子藥物在神經免疫病治療中面臨的科學難題,附屬第三醫院腦病中心邱偉教授、蔡蔚副研究員團隊與國家納米科學中心、附屬第三醫院納米醫學中心合作,借助新興的納米材料科學技術,在穿透血腦屏障、靶向小膠質細胞、精準調控小膠質細胞等新型納米藥物關鍵技術方面開展了系列研究,并發表多篇研究成果。本研究即是腦病中心腦科學與材料學領域的交叉融合研究成果之一。未來,腦病中心將充分利用多學科多領域合作優勢,攜手解決臨床問題,進一步推進科研成果向臨床應用轉化。
附屬第三醫院腦病中心博士后沈施施、程希和博士研究生周路遙為該文章的共同第一作者。腦病中心邱偉教授、蔡蔚副研究員和國家納米科學中心聶廣軍研究員為該文章的共同通訊作者。國家納米科學中心王海研究員對課題進行了重要指導并提供了大力支持。